Facebook
  • LOGIN
  • STORE
  • CONTACT US
  • Skip to navigation (n)
  • Skip to content (c)
  • Skip to footer (f)
  • ABOUT US
    MeetRon Roncone
    ROIVision
    FEATURES
    • More Information
    • Request Course Registration Form
    • Speaking Engagement Request
    • Ask Ron
  • ROI COURSES
    TIER V Orthodontics

    TIER V Orthodontics

    The Need to Streamline Your Practice--Easy to say, but how do you do it?

    Currently no dates are available for this course at this time.

    MORE INFORMATION>>
    • TIER V Orthodontics
    • The JSOP® Course
      THE JSOP® PROGRAM

      ANNOUNCING in-office dates for 2025! The JSOP® Program provides valuable information on topics geared to increase efficiency, productivity, and profitability and is designed to help you reach the maximum potential in your practice!

      Watch the video and listen to Dr. Roncone explain what JSOP® is and what the program is all about.

      VIEW MORE >>
    • The JSOP® Course Europe
      The JSOP® Course Europe

      Join Dr. Ron Roncone in Europe in 2024 for the return of The JSOP® Course Europe. This year-long course consists of 12 days total, sectioned into three, 4-day sessions.

      VIEW MORE >>
    • TMJ Course

      TMJ Course (2 Days, In-Office) Vista, California Dx & Tx (Lecture & Clinical) Why diagnosing and treating is critical to your practice.

      Learn more >>
    • The Lingual S.S. Course
      PDS Lingual SS (Social Six) This is a in-office lecture and a hands-on course presented by Dr. Ron Roncone.
      Chances are if you've tried lingual orthodontics, you hated it and vowed never to do it again. Let me change your mind! While full lingual is still very difficult and expensive, cosmetic lingual treatment is very simple.
      Click View More to find out how you can offer this easy and comfortable treatment to your patients!
      VIEW MORE >>
    • Orthobarbarian Study Club

      Orthobarbarian Study Club (OBSC) You take a large group of like-minded individuals but with diverse backgrounds, all experiencing similar and different things but coming together to discuss their honest successes, their failures, their methods for handling challenges and what they’ve done to get overcome those difficult moments. These are people that make up the
      Orthobarbarian Study Club!

      Learn more >>
    • Session Outlines
      SESSION OUTLINES

      Session 1: Visualization Comprehensively evaluate and analyze of your practice.

      Session 2: Realization Have the necessary tools to maximize your treatment efficiencies.

      Session 3: Implementation Get the action plan for you to implement your vision and skills and take it to the next level.

      VIEW MORE >>
    • JSOP Quiz
      JSOP QUIZ There is a certain level of freedom that occurs when the tide changes within the life of the practice and instead of working for your practice; your practice begins working for you.

      This quiz will help you to evaluate how well your practice is currently doing and if you should take it to the next level.

      Take the quiz - START NOW >>
    • Q & A
      Q & A As in anything important there are questions that must be answered such as..
      • - Who should take this course?
      • - What does my investment include?
      • - Are there options for payment of the course fee?

      Find out now! - Learn more >>
  • SCHEDULES
    JSOP®Dates
    On the road withDr. Roncone
    J.S.O.P.® The JSOP® course offers a comprehensive, integrated approach to practice and clinical management.

    The information provided in this program is geared to increase efficiency, productivity and profitability.

  • CLINICALPHILOSOPHY
    The Roncone PhysioDynamicSystem (PDS) "If you do not know how and why muscles work, you cannot be a superb orthodontist."

    "Ron Roncone Why is this important?

    The Roncone PhysioDynamic System consists of 6 specific steps which are followed sequentially. Find out more on what they are! Also, learn what an Orthodontist’s medical/dental responsibility is.

    LEARN MORE >>
    FEATURES
    • The Roncone PhysioDynamicSystem (PDS)
    • Step by Step PDS Prescription
      The Step-by-Step Roncone PhysioDynamicSystem (PDS) Prescription

      The Roncone PhysioDynamicSystem of interactive SLB’s, wire forces, wire sizes, archform, and bracket prescription will be shown to be very physiological and move teeth very quickly with “directional” forces. Additionally, there are little to no side effects which have to be compensated for during treatment. It will also virtually eliminate root resorption.

      Let’s begin with the goals of the Roncone.

      With this course we help you visualize your practice from a new perspective and help you take it to the next level.

      VIEW MORE >>
    • The RonconePhysioDynamicSystem Wires

      The Roncone PhysioDynamicSystem (PDS) Wires

      Wires are chosen in specific forces for specific physiologic tooth movements. There are five types of wires chosen:

      1. Two (2) .014 Superelastic (S.E.) used in tandem for the vast majority (90+%) of malocclusions.

      VIEW MORE >>
    • Treatment Photos
      Treatment Photos

      See before and after treatment photos.

      See More >>
    • JSOP® Systems

      View PDF >>
  • WHAT HAS JSOP®DONE FOR MY PRACTICE
  • RONCONE SYSTEMSOF TREATMENT PRODUCTS
    Bracket Systems

    The PhysioDynamicSystem is only available from Forestadent and uses the BioQuick and QuicKlear interactive self-ligating brackets.

    This PhysioDynamicSystem (PDS) prescription comes closer than any other to taking the easiest, full-menuest direction from malocclusion to an esthetic, functional result.

    LEARN MORE >>
    FEATURES
    • Bracket Systems
    • The Roncone PDS Archform

      The Roncone PDS Archform

      The Roncone Functional Archform is critical to the proper finishing of cases. Improper archform is one of the main reasons for relapse.

      FIND OUT MORE >>
    • The Roncone PDS Auxiliaries

      The Roncone PDS Auxiliaries

      Building reliability and predictability into your appliance system and business practice just makes sense. The Roncone PDS streamlines the amount of peripheral items a person might routinely need, allowing you to reduce chair time and treatment time.

      The PDS Philosophy allows the orthodontist to...

      - Use fewer archwires which reduces the number of appointments, speeds up treatment time and reduces overhead
      - Treat 90% of patients in a very similar manner-from enrollment to proper diagnosis and from treatment planning to wire sequencing. A version of the Pareto Principle or Principle of Imbalance is used in ALL aspects of the PDS Philosophy

      LEARN MORE >>
    • The PDS Instrumentation

      The PDS Instrumentation

      The Roncone PDS pliers Pliers can be used to bend the ends of nickel titanium wires without annealing; create a bend which eliminates the need for wire stops and help prevent the archwire from escaping the molar tube.

      - BioQuick clip opener dual end

      - QuicKlear clip opener

      - QuicKlear bracket remover-Pauls Tool

      - Roncone Niti Distal Bending plier

      LEARN MORE >>
    • Library of Manuals

      Library of Manuals

      For just a little over 1/3 of the cost of an average orthodontic fee you can have Fifty Years of Orthodontic knowledge in the form of 17 manuals …in every area of Orthodontics! Now including Clinical Operations Manual Volumes I-III

      See More >>
  • RESOURCES
    Presentations

    Download and view the PowerPoint Presentations:

    J.S.O.P.® Management Systems by Dr. Roncone

    VIEW MORE >>
    FEATURES
    • Presentations
    • JSOP® Journal Archive
      J.S.O.P.®
      Journal Archive

      The Roncone J.S.O.P.® Journal Archive is an orthodontic resource developed to give access to clinical articles to Orthodontic procedures.

      FIND OUT MORE >>
    • Audio / Video Library
      Audio Visual Library

      The Roncone Audio Visual library is an orthodontic resource developed to give you access to clinical audio and visual media to Orthodontic procedures.

      FIND OUT MORE >>
  • LOGIN
  • SHOP ROI
  • CONTACT US
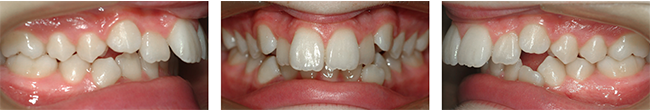
Roncone Orthodontics International » Clinical Philosophy » Treatment Photos » case3-01

case3-01

ANNOUNCING TMJ(TMD) COURSE OCTOBER 2025

Following Session 3 of JSOP LXVII (67) join Dr. Roncone in a two-day in-office course with lecture including hands-on clinic practical.

For details and EARLY enrollment, please email the ROI Team:
  • contact@ronconeroi.com
  • OR fill out our Contact Form

    » Register Today!

    PHONE

    • Toll Free: 1.800.758.5836
    • International: 1.760.630.5914
    • Fax: 1.760.758.7604

    EMAIL

    • contact@ronconeroi.com
    • More Information

      More
    • Request Course Registration Form

      More
    • Request a Speaking Engagement

      More
    • Ask Ron

      More

    INDUSTRY PARTNERS

    • Forestadent has support from a high profile leader in the Orthodontic community.

    • Dolphin is the primary software used in Dr. Roncone’s orthodontic practice.

    • OrthoBanc improves the billing process, allowing patients to pay every month with any option – Check, Visa, MasterCard, American Express, or Discover.

    • The Patient Rewards Hub™ powered by PracticeGenius™ is an Engagement Marketing Suite featuring Rewards, Kids Clubs, Social Media, Reviews and Contest Engagement Programs ...

    • Solutions by Design is the industry leader in providing technology and marketing solutions to orthodontic practices worldwide.

    Blogger
    Facebook

    NAVIGATION

    About Us

    • Meet Ron Roncone
    • ROI Vision

    ROI Courses

    • TIER V Orthodontics
    • The JSOP Course
    • The JSOP Course Europe
    • The TMJ Course
    • The Lingual Social Six Course
    • Orthobarbarian Study Club
    • Marketing Program Overview
    • In-Office Consulting
    • Session Outlines
    • JSOP Quiz
    • Q & A

    Schedules

    • JSOP Dates
    • On the Road with Dr. Roncone

    Clinical Philosophy

    • Introduction to the PDS of Treatment
    • Step by Step PDS Prescription
    • PDS Philosophy & Sequence
    • Treatment Photos

    What has JSOP done for my practice

    • JSOP Grad Testimonials

    Roncone systems of treatment products

    • Bracket Systems
    • Wire Products
    • Roncone Auxiliaries
    • Instrumentation
    • Library of Manuals

    Resources

    • Presentations
    • JSOP Journal Archive
    • Audio/Video Library

    © 2023 Roncone Orthodontics International | Privacy Policy | Disclaimer